年輕人也會患腦退化症?內地一名19歲男子讀高中時有學習困難,記憶逐漸衰退,甚至忘記有否吃飯,確診為阿茲海默症(認知障礙症/腦退化症的一種),成為目前全球已知最年輕的認知障礙症患者。香港衞生署指,認知障礙症主要分3類型,若出現10大警告訊號,例如對時間及方位感到混亂等。
19歲患阿茲海默症 頭沒損傷沒家族史
綜合內地媒體報道,中國首都醫科大學宣武醫院賈建平醫生團隊在《阿茲海默症期刊》(Journal of Alzheimer’s Disease)發表論文指,該名19歲男子發育正常,過往沒有任何精神心理疾病、頭部損傷或家族病史。
2年間記憶衰退 忘記有否吃飯
2年前,他讀高中時因難以集中,影響學習;1年前,他開始出現短期失憶,例如會難以記起前一日發生的事情,或擺放個人物品的位置等,同時亦出現閱讀和反應障礙。其後,他情況惡化,記憶力每況愈下,開始連有否吃飯亦記不起,無法完成學業,最終被迫退學,不過仍有獨立生活能力。
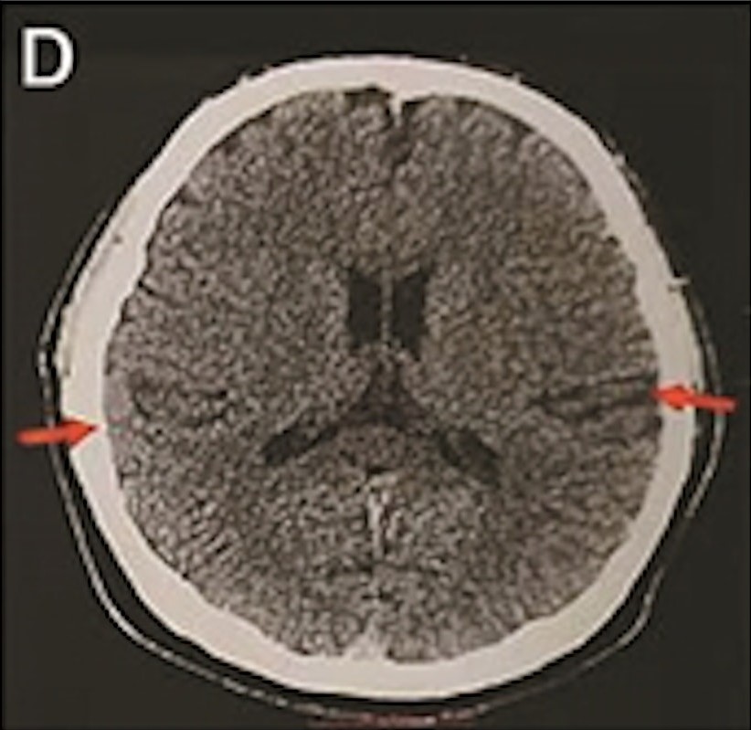
最年輕的19歲阿茲海默症男子腦部掃描結果:

19歲阿茲海默症男子腦部掃描結果(圖片來源:北京青年報) 
19歲阿茲海默症男子腦部掃描結果(圖片來源:北京青年報) 
19歲阿茲海默症男子腦部掃描結果(圖片來源:北京青年報) 
19歲阿茲海默症男子腦部掃描結果(圖片來源:北京青年報) 
19歲阿茲海默症男子腦部掃描結果(圖片來源:北京青年報)
19歲患阿茲海默症 全球最年輕患者
該名19歲男子到醫院接受多項檢查,包括腦脊液指標檢測及正電子掃描。結果顯示,他出現輕度腦萎縮等症狀,最終被臨床診斷為「阿茲海默症」。
在此之前,全球被診斷患上阿茲海默症的患者,最年輕的僅為21歲,屬基因病變。不過,上述個案的19歲男子並無任何相關的基因病變,令醫生難以置信。
賈建平醫生指,早期發現的阿茲海默症患者可能只有零星幾過,有不常見的相關基因突變,所以這個病例進一步了解阿茲海默症的發病原理,有著巨大意義。
認知障礙症分3類 阿兹海默病最常見
根據香港衞生署資料,認知障礙症「前稱老人癡呆症/腦退化症」,是大腦神經細胞病變,引致腦部功能不正常地衰退的病患之統稱;也是一種因腦部功能喪失而出現的疾病,它會影響記憶、思維、語言、判斷能力、行為及性格。
患者的記憶力及其他認知功能(例如學習、理解、語言運用、方向感及判斷力等)會逐漸失去﹔有些病人也會有抑鬱、幻覺或人格改變的病徵。
病因可分為以下幾類:
阿兹海默病 – 最常見類型,佔香港長者病例約65%
血管性認知障礙症 – 第二常見類型,佔香港長者病例約30%
其他 (柏金遜病型認知障礙症、甲狀腺機能衰退及維他命B12缺乏等)
小心認知障礙症10大警告訊號
衞生署指,若出現以下情況,或是患認知障礙症的警告訊號:

認知障礙症病情發展及症狀
衞生署指,認知障礙症病情發展分3個階段,徵狀如下:

T03