用作隆胸的矽膠植入物,救回現年30歲女子Sage Journals的生命;Journals在1宗案例研究中,分享了奇蹟般的細節;醫生亦證實,由於她用作隆胸的矽膠植入物,令子彈偏離其心臟,從而挽回其生命。
根據病例紀錄中指出,事發時,Journals正在街上行走,突然感到左胸熱及疼痛,她低頭看到身上有血跡,故此,隨即走到急症室,之後更被轉至醫院內的創傷中心。
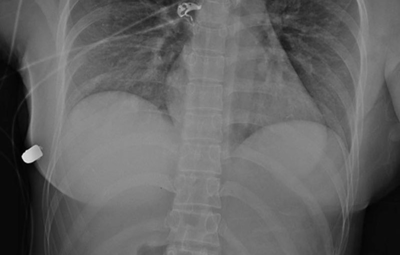
結果確定,她被子彈近距射擊,而醫生更認為子彈有可能直射入其心臟。
由整形外科醫生Giancarlo McEvenue牽頭的研究指出,Journals胸部的矽膠植入物,「可能」將子彈的軌跡轉移,最終挽回她的生命。
該研究在《整形外科案例研究》中發表,報告將Journals描述為「沒有痛苦的舒適患者」。
從掃描所得,發現子彈從Journals的左面乳房進入,但被矽膠植入物影響,令子彈轉移至右面乳房,避過直入心臟的危機。

研究表明,基於子彈進入的軌跡,及根據放射學評估,令到子彈出現軌跡偏離的唯一原因,是左面乳房的矽膠植入物。
醫生在報告中指出,這種矽膠植入物覆蓋心臟及胸腔,故此,很有可能挽回該名婦女的生命。
(圖片:Global News) T02