【牙齒矯正/箍牙/隱形牙套】箍牙不拔牙不行?哪種技術效果更好?牙科醫生胡瀚鈞接受《星島頭條》訪問,講解不同牙齒矯正(箍牙/矯齒)方式的優缺點,以及甚麼情況需要拔牙。
傳統箍牙vs隱形牙套 哪種方法較好?
胡瀚鈞醫生表示,簡單來說牙齒矯正基本上就是排齊牙齒和改善咬合,視乎個案和病人選擇,有些時候還可以改善嘴形。而箍牙主要可分為2大類方法:
1. 傳統固定式牙箍矯齒(Fixed Appliance)
- 做法:以金屬線和金屬粒做矯正
- 優點:須要病人配合的程度較隱形牙套少,效果較可預期;處理複雜的個案比隱形牙套更快達到效果
- 缺點:外觀較難接受,但現在有陶瓷粒可以代替金屬粒,減少外觀上的問題
2. 透明牙套(隱形牙套)矯齒(Clear Aligners)
- 做法:以可拆除的隱形牙套做矯正
- 優點:較傳統矯齒美觀與舒適,能在開始前預計箍牙效果(Simulated Result)
- 缺點:須要病人配合和自律,戴牙套時間必須充足治療才能順利
3. 其他的矯齒工具
- 例如功能矯正器、舌側固定矯正等

胡醫生接受箍牙療程的中期情況,已經比初期的情況改善了很多。(牙科醫生胡瀚鈞提供)

胡醫生接受箍牙療程的後期情況。(牙科醫生胡瀚鈞提供)

倒及牙個案,經胡醫生用透明牙套治療後咬合有明顯改善。(牙科醫生胡瀚鈞提供)

另一個個案,患者箍牙前可見交錯咬合已導致牙肉萎縮,而且牙齒也變鬆。(牙科醫生胡瀚鈞提供)

治療不久之後,咬合已有明顯改善(牙科醫生胡瀚鈞提供)

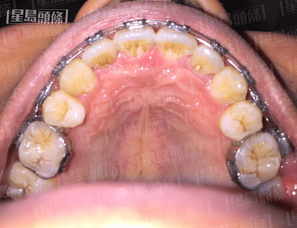
傳統箍牙方法。(牙科醫生胡瀚鈞提供)
箍牙一定要拔牙嗎?視乎3大因素決定
有不少病人對箍牙前應否拔牙感到疑惑,但胡瀚鈞醫生表示,每個病人的情況不一,建議病人箍牙前接受詳細的牙齒和口腔檢查,包括全景X光和顱側X光,再諮詢牙科醫生的意見。
牙科醫生會考慮以下因素:
1. 牙齒擠擁的程度
- 如果嚴重擠擁,需要先拔牙,再箍牙。
- 如果情況輕微,可透過「鄰接面修磨」(IPR/磨牙),就是在牙與牙之間的位置修磨,每隻牙之間能騰出微小空間 ,以減少擠擁,提供空位排齊牙齒。
- 每個牙齒鄰面能磨的程度是有限的,所以磨牙能騰出的空間也不會很多,故不適合嚴重牙齒擠擁的個案。
2. 側面輪廓(Lateral Profile)
- 嘴形較突出(Convex)的,較需要拔牙,以將門牙大幅拉後,達到明顯的輪廓改善。
- 亞洲人較常有突出的嘴輪廓而需要拔牙;反之,歐美人普遍嘴形較平,如果再拔牙,嘴形會過度凹陷。
3. 病人的期望和拔牙意願
- 牙科醫生會先了解病人的期望,例如是想改善排列或是想改善嘴形,以及病人拔牙的意願,再決定治療的方案。
- 雖然拔牙更容易改善嘴形,但有些病人也會因為衝破不到心理關口,認為「冇咗啲真牙」、「不捨得」,而達不到理想的效果。
除了拔牙或磨牙,胡瀚鈞醫生表示,還可以透過臼齒遠移(Molar Distalization)、擴弓(Expansion)等方法,增加空位。
牙醫分享自身箍牙經驗 先拔6隻牙嘴形大改善
胡瀚鈞醫生分享自己年輕時箍牙的經歷。他表示,自己曾於大學修讀牙科時期接受箍牙治療,當時牙齒擠擁、嘴形稍突,由胡醫生的導師和教授為他治療。當時,醫生建議他箍牙前,先拔4隻小臼齒及2隻智慧齒。起初胡醫生和家人內心有掙扎,但最後也採用了此方案。
拔牙後,胡醫生接受傳統矯齒,箍了不多於2年就完成了,排列更加整齊,前牙向後收,嘴形得到改善,繼而提升了儀容。這個經歷令胡醫生體會到擁有一個美麗的笑容十分重要,他更明白牙齒排列不齊整的病人的心情,希望透過合適的治療,可以幫助病人重拾自信的笑容。
T10